팔꿈치 관절염의 증상
- 무리하여 팔을 쓰면 통증이 있고 뻣뻣하여 붓기도 한다.
- 팔의 운동제한이 있어 다 펴지거나 구부러지지 않아 세수하기가 힘들고 머리 감기가 어렵다.
※ 팔꿈치 관절염이 진행되면 관절이 완전히 펴지지도 완전히 구부러지지도 않습니다.
치료
새통영병원에서는 단계별로 치료를 하며, 특히 재활치료가 중요합니다.
- 초음파를 이용한 주사치료
- 체외충격파치료(ESWT)
- 수술적 치료 : 보존적치료에도 호전이 없고 관절운동 제한이 있어 일상생활이 힘든 경우.
- 재활치료

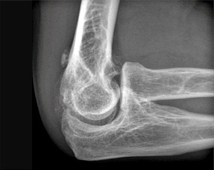
뼈 제거술 전

뼈 제거술 후