무지 외반증의 증상
- 엄지 발가락이 바깥쪽으로 휘게 되고, 통증이 온다.
- 발바닥에 굳은살이 생기거나 발바닥 앞쪽에 통증이 생긴다.
- 진행이 되면 두 번째 발가락이 엄지 발가락과 겹치거나 탈구가 된다.

무지 외반증
치료
- 처음에 비수술 치료로 초음파 주사, 약물치료를 한다.
- 수술적 치료
- 비수술 치료에 반응하지 않는 경우
- 무지외반증이 심한 경우
새통영병원에서는 정확한 교정 절골술을 하여 고정하여 안정성을 높이고 재발율이 낮습니다.

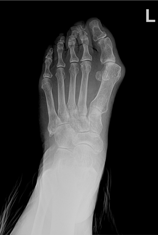
무지외반증 수술 전

무지외반증 수술 후