발목 외측 불안정성의 증상
붓고 발목의 외측을 누르면 압통을 느끼고, 반복적으로 삘때 내측으로도 관절통증이 발생한다.
치료
- 처음에 비수술 치료로 초음파 주사, 약물치료를 한다.
- 수술적 치료
- 비수술 치료에 반응하지 않는 경우
- 계속해서 불안정성 심한경우
- 관절연골의 손상이 동반되어 동통이 있는 경우
- 새통영병원에서는 관절경을 이용하여 관절연골의 상태를 확인 한 후 병행하여 인대 봉합술 또는 재건술을 합니다.

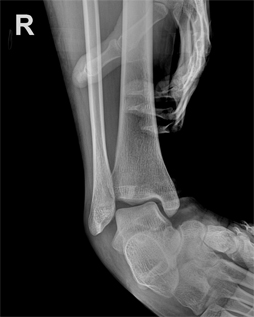
외측 불안정성 수술 전

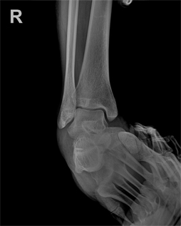
외측 불안정성 수술 후