메인화면_진료과안내_정형외과

증상
- 어깨를 움직일 때 소리
- 관절 사이에서 무엇인가 끼이는 느낌
- 공을 던질 때와 같이 특정한 각도에서 심한 통증으로 갑자기 힘이 빠짐
원인
- 심한 외상으로, 낙상, 팔이 꺾이는 외상, 부딪히는 외상
- 반복적인 미세외상으로, 무리해서 많이 사용하는 경우.
- 퇴행성으로 노화와 관련된 손상.
치료
- 퇴행성인 경우, 재활치료을 우선적으로 고려한다. 염증주사치료, 체외충격파치료
- 외상성인 경우는 수술을 우선적으로 고려한다.

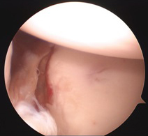
관절순 파열 수술 전

관절순 파열 수술 후