메인화면_진료과안내_정형외과

증상
- 갑자기 발생하는 심한 통증으로 가만히 있어도, 움직이면 더 아프고 잠을 못 잘 정도로 통증이 심함.
- 증상이 심해지면 극심한 통증으로 잠을 못 잘 정도로 힘들고 일상 생활이 힘들다.
- 극심한 통증 이외에도 어깨가 잘 안 움직이거나 절리는 느낌.
치료
- 초기엔 약물, 초음파 주사
- 증상이 호전 없으면 체외충격파 치료
- 심한 운동제한, 재발 시 수술적 치료

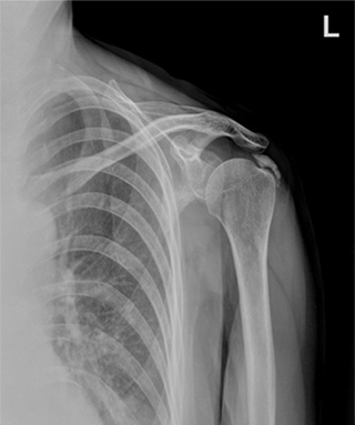
체외충격파 치료 전

체외충격파 치료 후

관절경 수술 전

관절경 수술 후