진료과안내

  • 내과
  • 정형외과
    • 골절
    • 무릎
    • 발목
    • 손목
    • 어깨
    • 족부
    • 팔꿈치
  • 외과
  • 신경외과
  • 신경과
  • 비뇨기과
  • 영상의학과
  • 마취통증의학과
  • 새통영병원은 고객님을 먼저 생각합니다. 대표전화 055-656-6000
  • 진료시간 응급의료센터는 365일 24시간 진료, 일요일 및 공휴일은 휴무입니다.평일 오전 9시부터 오후 6시까지, 토요일 오전 9시부터 오후 1시까지, 점심시간 오후 12시부터 오후 1시까지

튼튼한건강 설계, 빈틈없는 건강유지!

메인화면_진료과안내_정형외과

정형외과

  • 수근관 증후군
  • 척골충돌 증후군
척골충돌 증후군
척골충돌 증후군의 증상
  1. 손목 바깥쪽 통증
  2. 손목을 많이 사용하거나, 비틀 때 통증이 심하다.
  3. 손목을 돌리거나 뒤로 젖힐 때 통증이 심하다.

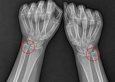
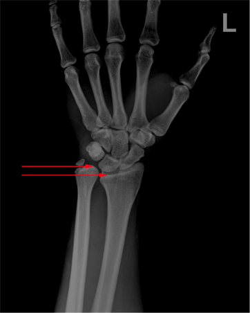
x-ray 사진

치료
  1. 처음에 비수술 치료로 초음파 주사, 약물치료를 한다.
  2. 수술적 치료
  • 비수술 치료에 반응하지 않는 경우
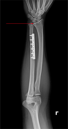
  • 새통영병원에서는 손상된 연골과 관절에 대하여 관절경을 이용하여 수술하며, 필요에 따라 척골 단축술을 합니다.

x-ray 사진

 교정 전ㆍ척골 플러스 상태

x-ray 사진

 교정 수술 후


  • 의료진소개
  • 증명서발급
  • 종합건강검진안내
  • 비급여수가
  • 진료과가기

  • 내과
  • 외과
  • 정형외과
  • 신경외과
  • 신경과
  • 비뇨기과
  • 영상의학과
  • 마취통증의학과