메인화면_진료과안내_정형외과



새통영병원은 원칙을 지켜서 치료를 하며 관절을 보존하는 치료를 우선으로 합니다.
변연절제술, 미세천공술, 자가 연골골편 이식술, 자가 연골세포 배양 이식술, 자가 줄기세포 이식술
통증치료, 염증 치료, 운동치료
인공관절 치환술이 필요합니다.
새통영병원은 환자의 상태에 따라 맞춤형 인공관절 치환술을 합니다.
( 인공관절 부분 치환술, 인공관절 전 치환술, 맞춤형 인공관절 치환술)

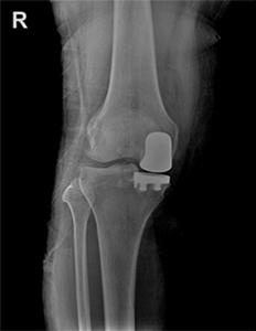
부분 인공관절치환술

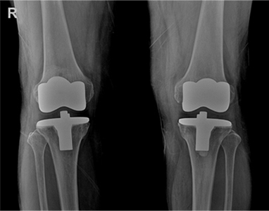
전체 인공관절 치환술
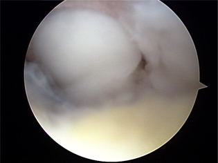
대부분 관절경으로 치료하며, 변연절제술을 하게 됩니다. 일시적인 효과는 있지만 퇴행성 진행을 지연시키지 못해 통증이 재발하기 쉬우며 관절염이 더 빨리 진행 할수도 있습니다.

미세천공술 1

미세천공술 2

자가연골이식술 1

자가연골이식술 2

자가연골이식술 3
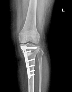
관절염의 수술적 치료로 인공관절 수술이 가장 흔하나, 인공관절수술은 일을 하고 운동을 해야하는 젊은 사람들에게는 시행하기 어려운 단점이 있습니다. 그래서 근위경골 절골술은 체중부하를 관절염이 생기지 않는 쪽으로 옮겨주는 방법입니다.

경골 교정 절골술 전

경골 교정 절골술 후