진료과안내

  • 내과
  • 정형외과
    • 골절
    • 무릎
    • 발목
    • 손목
    • 어깨
    • 족부
    • 팔꿈치
  • 외과
  • 신경외과
  • 신경과
  • 비뇨기과
  • 영상의학과
  • 마취통증의학과
  • 새통영병원은 고객님을 먼저 생각합니다. 대표전화 055-656-6000
  • 진료시간 응급의료센터는 365일 24시간 진료, 일요일 및 공휴일은 휴무입니다.평일 오전 9시부터 오후 6시까지, 토요일 오전 9시부터 오후 1시까지, 점심시간 오후 12시부터 오후 1시까지

튼튼한건강 설계, 빈틈없는 건강유지!

메인화면_진료과안내_정형외과

정형외과

  • 노인 골절
  • 소아 골절
  • 어깨관절 골절
  • 팔꿈치관절 골절
  • 손목관절 골절
  • 무릎관절 골절
  • 발목관절 골절
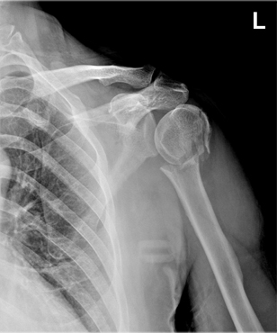
어깨관절 골절
어깨 골절의 종류 및 치료

쇄골 골절, 견봉-쇄골 관절 손상 및 탈구, 상완골 골절

x-ray 사진

 상완골 경부 골절, 수술 전

x-ray 사진

 상완골 경부 골절, 수술 후


  • 의료진소개
  • 증명서발급
  • 종합건강검진안내
  • 비급여수가
  • 진료과가기

  • 내과
  • 외과
  • 정형외과
  • 신경외과
  • 신경과
  • 비뇨기과
  • 영상의학과
  • 마취통증의학과